
医療提携でホワイトニングやったらここまで白くなりました!
医療ホワイトニングは白くはなりますが、白さに限界もありますし、歯へのダメージも少なからずあります。
理想の白さになったら、歯へのダメージのない美容ホワイトニングでメンテナンスするのがオススメです!
セルフホワイトニングLaDentでは、
医療ホワイトニングと美容ホワイトニングの上手な使い方のお悩みもお聞きします🤗
新着情報

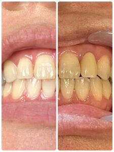
医療提携でホワイトニングやったらここまで白くなりました!
医療ホワイトニングは白くはなりますが、白さに限界もありますし、歯へのダメージも少なからずあります。
理想の白さになったら、歯へのダメージのない美容ホワイトニングでメンテナンスするのがオススメです!
セルフホワイトニングLaDentでは、
医療ホワイトニングと美容ホワイトニングの上手な使い方のお悩みもお聞きします🤗